Классификация двурогой матки
-
Седловидная матка – название этой аномалии говорит само за себя: внутренняя структура органа напоминает седло из-за углубления в дне и соединения маточных рогов. Эта патология составляет около 1% всех репродуктивных аномалий. При поперечном сечении наблюдается значительное расширение полости, при этом маточное дно не разделяется полностью.
-
Неполная двурогая матка – в этом случае формирование “рогов” происходит в верхней части матки, затрагивая область выше её средней части.
-
Полная двурогая матка – в данной ситуации маточная полость разделена перегородкой, которая простирается от крестцово-маточной складки до дна органа. Рога матки направлены в противоположные стороны под углом.
Седловидная матка является аномальным развитием органа, что может привести к невынашиванию беременности и затруднениям с зачатиями.
Седловидная матка — это аномалия, которая может оказывать влияние на репродуктивную функцию женщины. Врачи отмечают, что наличие этой патологии не всегда является препятствием для зачатия. Многие женщины с седловидной маткой успешно беременеют и рожают здоровых детей. Однако, в некоторых случаях, такая аномалия может привести к осложнениям, таким как выкидыши или преждевременные роды. Специалисты рекомендуют женщинам с данной патологией проходить регулярные обследования и находиться под наблюдением врача. Это позволит своевременно выявить возможные риски и принять необходимые меры для успешного ведения беременности. Важно помнить, что каждая ситуация индивидуальна, и успех зачатия зависит от множества факторов, включая общее состояние здоровья женщины и наличие сопутствующих заболеваний.

Причины седловидной матки
Формирование матки начинается на 12-14 неделе эмбрионального развития.
Парамезонефральные протоки сливаются, образуя две полости матки и влагалища, разделенные сагиттальной перегородкой. В процессе роста плода орган удлиняется, и формируется перешейк, который отделяет влагалище от матки.
Сагиттальная перегородка постепенно рассасывается, в результате чего образуется одна мышечная полость. Если в процессе внутриутробного развития происходят нарушения, это может привести к аномалиям в строении органа. Маточная перегородка может рассасываться не полностью или сохраняться в своем первоначальном виде.
Седловидная форма матки возникает из-за нарушений в процессе формирования в конце беременности.
Факторы, способствующие сбоям в формировании женского органа:
- неправильный образ жизни (злоупотребление алкоголем, курение, токсикомания, наркомания);
- дефицит витаминов (например, недостаток витамина В9);
- инфекционные болезни: краснуха, токсоплазмоз, герпес, грипп, цитомегаловирус (все эти заболевания выявляются при постановке на учет по беременности);
- сердечно-сосудистые заболевания, приводящие к гипоксии плода;
- эндокринные расстройства (тиреотоксикоз, диабет);
- поздний токсикоз;
- гестоз;
- наследственные факторы.
Заподозрить наличие седловидной матки можно в двух ситуациях: при ультразвуковом исследовании на ранних сроках беременности и на этапе планирования.
Клинические проявления данного состояния отсутствуют.
| Характеристика | Седловидная матка | Возможные последствия для зачатия и вынашивания |
|---|---|---|
| Форма матки | Матка имеет вдавленную переднюю стенку, напоминающую седло. | Может незначительно затруднять имплантацию эмбриона. |
| Причины | Врожденная аномалия развития. | Нет прямой связи с бесплодием, но может быть фактором риска. |
| Диагностика | УЗИ, гистероскопия. | Необходима для оценки степени деформации и планирования беременности. |
| Частота встречаемости | Относительно редкая аномалия. | Не является абсолютным противопоказанием к беременности. |
| Влияние на зачатие | Зачатие возможно, но может быть несколько затруднено из-за изменения формы полости матки. | Возможно снижение вероятности зачатия, но не всегда. |
| Влияние на вынашивание | Риск преждевременных родов и выкидышей может быть немного повышен. | Необходимо тщательное наблюдение во время беременности. |
| Лечение | В большинстве случаев не требуется специфического лечения. | Лечение направлено на снижение рисков осложнений во время беременности и родов. |
| Рекомендации | Планирование беременности с врачом, тщательное наблюдение во время беременности. | Возможно назначение поддерживающей терапии для снижения риска преждевременных родов. |
Диагностика
Для уточнения диагноза используются следующие методы диагностики:
-
Гистероскопия. Этот метод позволяет осмотреть полость матки с помощью гистероскопа — оптического устройства, передающего изображение на экран. Гистероскопия применяется при различных показаниях и для оценки шансов на зачатие.
-
Ультразвуковое исследование с измерением толщины миометрия. В процессе УЗИ врач может заподозрить наличие патологий в строении органа. Однозначные выводы можно сделать при значительных деформациях маточного дна и утолщении миометрия.
-
Гистерография. Это разновидность ультразвукового исследования, при которой в полость матки вводится специальное контрастное вещество. Оно изменяет цвет при прохождении, что фиксируется на мониторах. Этот метод позволяет детально изучить строение органа и выполняется под контролем УЗИ.
-
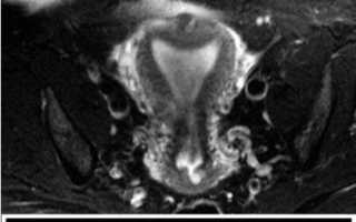
МРТ. Магнитно-резонансная томография — современный метод, который позволяет оценить не только анатомию органа, но и выявить сопутствующие заболевания и новообразования, если они имеются.
Во время планового гинекологического осмотра заподозрить наличие заболевания невозможно.
Патология, связанная с седловидной маткой, вызывает много вопросов у женщин, планирующих беременность. Многие считают, что такая аномалия может стать серьезным препятствием для зачатия. Однако мнения специалистов расходятся. Некоторые врачи утверждают, что с седловидной маткой возможно естественное зачатие и успешная беременность, если нет других осложняющих факторов. Важно учитывать индивидуальные особенности организма и проводить регулярные обследования. Женщины с данной патологией часто делятся своим опытом в форумах, где отмечают, что при правильном подходе и поддержке медицинских специалистов можно достичь желаемого результата. Тем не менее, консультация с гинекологом остается ключевым шагом для каждой женщины, чтобы получить персонализированные рекомендации и минимизировать риски.

Возможна ли беременность и как это отражается на плоде
При диагностировании «седловидной конфигурации матки» шансы на зачатие могут снижаться, но эта анатомическая особенность не всегда приводит к бесплодию.
По статистике, форма матки (в случае седловидной конфигурации) не влияет на возможность имплантации оплодотворенной яйцеклетки в ее полости. Нарушения в этом процессе могут быть вызваны другими заболеваниями мочеполовой системы.
Существует высокая вероятность успешного зачатия и рождения здорового малыша. Плод, находясь в защищенной среде матки и под плацентарным барьером, не испытывает дискомфорта из-за особенностей строения органа.
Форма матки не влияет на физическое и умственное развитие ребенка. Однако существует риск гипертонуса матки и прерывания беременности, что может быть связано с рядом репродуктивных заболеваний. В этом контексте седловидная форма матки может выступать как отягчающий фактор.
Позы для зачатия при седловидной матке
Измененная анатомия не мешает проникновению мужских половых клеток в матку, поэтому нет специфических поз для зачатия, необходимых в этом случае.
Рекомендуемые позиции для зачатия, независимо от анатомических особенностей матки:
- поза «женщина снизу»,
- поза «собачка».
В этих позициях сперматозоиды направляются в маточную полость, а затем в фаллопиевы трубы для оплодотворения яйцеклетки.
Седалищная форма не препятствует их движению, но может привести к неправильному прикреплению оплодотворенной яйцеклетки в матке. Это может вызвать проблемы с предлежанием плаценты.

Лечение во время беременности
Патологические изменения в структуре матки можно устранить хирургическим вмешательством. Реконструкция проводится во время гистероскопии.
Операция рекомендуется, если предыдущие попытки забеременеть не увенчались успехом. После реконструкции шансы на зачатие значительно возрастают. Также операция показана при повторяющихся выкидышах.
Если бесплодие или привычное невынашивание связано с другими заболеваниями репродуктивной системы, изменение формы матки не приведет к желаемому результату.
Специфического лечения для седалищной матки не предусмотрено.
Необходимая терапия применяется при возникновении осложнений:
- угроза преждевременных родов;
- послеродовые кровотечения;
- предлежание плаценты;
- неправильное положение плода в утробе.
Используемые методы лечения:
- Препараты, улучшающие кровоснабжение плаценты (Курантил, Актовегин).
- Спазмолитики.
- Гормональная терапия (Утрожестан и Дюфастон – местное применение).
Особенности родов
В ходе родов могут возникать различные сложности.
При аномальном строении матки малыш не может самостоятельно покинуть материнскую утробу. Это приводит к недостаточной родовой активности и создает риск серьезной гипоксии.
Естественные роды при седалищной форме матки не рекомендуются.
В качестве альтернативы чаще всего выбирают кесарево сечение с эпидуральной анестезией.
Вопрос-ответ
Чем опасен седловидная матка?
Данный порок развития может приводить к нарушению вынашивания плода и нередко требует хирургического лечения. Седловидная деформация дна матки формируется в период внутриутробного развития плода. Незавершенность этого процесса приводит к тому, что в области дна органа возникает характерная вогнутость.
Можно ли вылечить седловидную матку?
Седловидная матка — это патология, которая не предусматривает консервативного лечения. Если же патология не сопровождается первичным бесплодием или привычным невынашиванием беременности, то никакого лечения не требуется.
Советы
СОВЕТ №1
Перед планированием беременности обязательно проконсультируйтесь с гинекологом. Он поможет оценить состояние вашей матки и даст рекомендации по возможным рискам и методам подготовки к зачатию.
СОВЕТ №2
Обратите внимание на свое общее здоровье. Здоровый образ жизни, включая правильное питание, регулярные физические нагрузки и отказ от вредных привычек, может повысить шансы на успешное зачатие.
СОВЕТ №3
Если у вас уже есть диагноз седловидной матки, обсудите с врачом возможные методы лечения или наблюдения, которые могут улучшить ваши шансы на успешную беременность.
СОВЕТ №4
Не забывайте о психологическом аспекте. Поддержка со стороны близких и профессиональная помощь психолога могут быть полезны в процессе планирования беременности и преодоления возможных трудностей.